A cancer diagnosis is always difficult to process, whatever stage you are in. Lung cancer, which is defined as cancer cells that start in the lung, is no different. Though smokers, passive smokers, the elderly or people who have a medical history of cancer are more vulnerable to developing lung cancer, a diagnosis can hit anyone. This is a short explainer of how cancer cells develop in the lungs.
Our lungs draw oxygen into the body and push out carbon dioxide. Air enters the body through the nose, goes down our trachea and then travels through two sets of bronchial tubes to the lung. The lungs then pass the air through sacs which send oxygen to the bloodstream and carbon dioxide back out of our airways.
Our airways and lungs are lined with various kinds of cells, each with a specific function. These cells have a typical growth, life, and death cycle which keeps their numbers in check. In some cases, cells might suffer a change called a mutation. This causes them to start multiplying rapidly. Cancer develops when there is this sort of unregulated cell division.
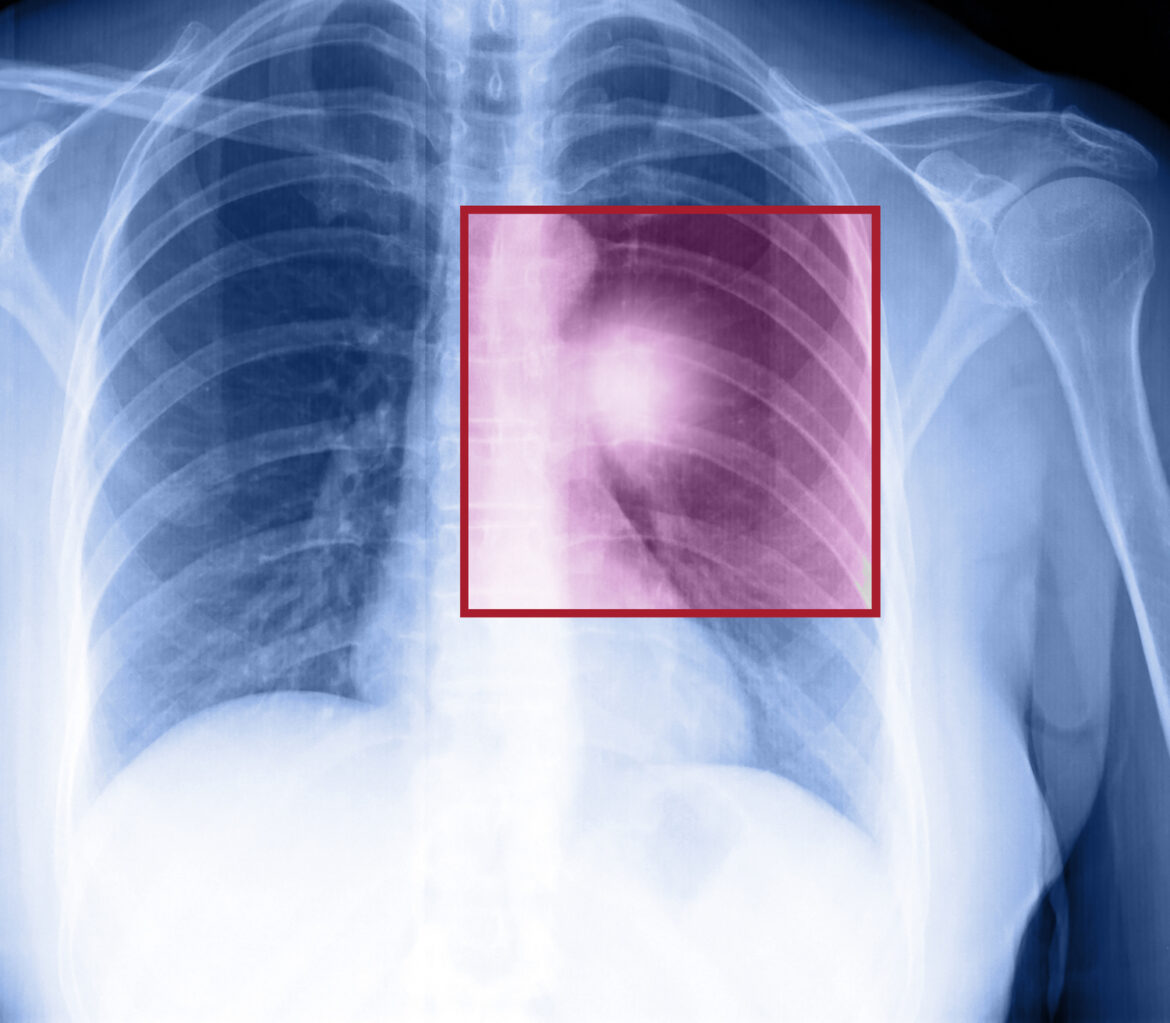
As the cells go on multiplying, they throw everything else off track. The mutated cells may form a mass or lesion on the lung which can be detected by a chest X-ray or a CT scan. A mass is either benign or malignant.
A malignant tumor is one in which the cancer cells can invade normal tissue. Malignant cells may spread to other parts of the body in a process called metastasis. These cells may form other new tumors. Cancer cells that have spread are called metastases and they can travel through the bloodstream to the bones, the brain, and the adrenal glands.
Lung cancer is usually quite difficult to detect in its early stages since people don’t notice any symptoms until the cells have metastasized. When malignant cells start in some other part of the body and make their way to the lungs, it isn’t considered lung cancer. You are only diagnosed with lung cancer when malignant cells are formed in the lungs.
If you get a cancer diagnosis, try to arm yourself with all the information you can and work out a suitable treatment plan with your doctor. Don’t be afraid to ask questions, seek out resources and develop a strong support system to help you get through your treatment.
